Inicio  Los Autores
 Introducción

Enfermedades Tropicales:

I Leishmaniasis
II Paracoccidioidomicosis
III Blastomicosis
IV Cromoblastomicosis
V Lepra
VI Esporotricosis
VII Histoplasmosis
VIII Rinosporidiosis
IX Micetomas
X Rinoescleroma
XI Enfermedad de Chagas
XII Actinomicosis
XIII Mucomicosis
XIV Amebiasis
XV Prototecosis
XVI Lobomicosis
XVII Feohifomicosis
XVIII Prurigo actínico
XIX Mordedura de Culebra
XX Coccidioidomicosis

 Listado de Casos

 Bibliografía
 Contacto

XI. Enfermedad de Chagas

Caso 61. Enfermedad de Chagas / Dermatofitosis

Ver Indice de Figuras

Fig. 61-A2

Anterior

Fig. 61-A2
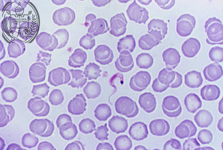
Fig. 61-A2: Enfermedad de Chagas

El agente causal de la infección que llega después a la sangre es el Trypanosoma cruzi con su típico flagelo.

Siguiente


| español | english | deutsch |


Facultad de Medicina
Universidad de Los Andes
Merida - Venezuela