Inicio  Los Autores
 Introducción

Enfermedades Tropicales:

I Leishmaniasis
II Paracoccidioidomicosis
III Blastomicosis
IV Cromoblastomicosis
V Lepra
VI Esporotricosis
VII Histoplasmosis
VIII Rinosporidiosis
IX Micetomas
X Rinoescleroma
XI Enfermedad de Chagas
XII Actinomicosis
XIII Mucomicosis
XIV Amebiasis
XV Prototecosis
XVI Lobomicosis
XVII Feohifomicosis
XVIII Prurigo actínico
XIX Mordedura de Culebra
XX Coccidioidomicosis

 Listado de Casos

 Bibliografía
 Contacto

VII. Histoplasmosis

Caso 47. Histoplasmosis / Carcinoma

Ver Indice de Figuras

Fig. 47-B2

Anterior

Fig. 47-B2
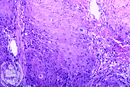
Fig. 47-B2: Carcinoma

Histológicamente se encontró un carcinoma espinocelular.


| español | english | deutsch |


Facultad de Medicina
Universidad de Los Andes
Merida - Venezuela