Beginn  Die Autoren
 Einleitung

Tropische Krankheiten:

I Leishmaniase
II Parakokzidioidomykose
III Blastomykose
IV Chromoblastomykose
V Lepra
VI Sporotrichose
VII Histoplasmose
VIII Rhinosporidiose
IX Myzetomas
X Rhinoklerom
XI Chagaskrankheit
XII Aktinomykose
XIII Mukormykose
XIV Amebiasis
XV Protothekose
XVI Lobomykose
XVII Phaeohyphomykose
XVIII Pruritus actinicus
XIX Schlangenbiss
XX Kokzidioidomykose

 Liste der Faelle

 Literatur
 Kontakt

VIII. Rhinosporidiose

Fall 52. Rhinosporidiose / Angiomatoeses Fibrom

Abbildung

Abb. 52-B2

Vorige

Abb. 52-B2
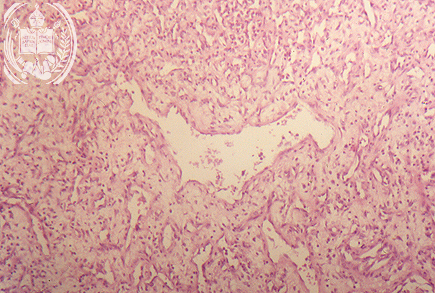
Abb. 52-B2: Angiomatoeses Fibrom

Der polypoese Tumor weist bei der histologischen Untersuchung ein lockeres Bindegewebe und zahllose kavernoese Blutgefaesse auf. HE-Faerbung.


| español | english | deutsch |


Facultad de Medicina
Universidad de Los Andes
Merida - Venezuela