Inicio  Los Autores
 Introducción

Enfermedades Tropicales:

I Leishmaniasis
II Paracoccidioidomicosis
III Blastomicosis
IV Cromoblastomicosis
V Lepra
VI Esporotricosis
VII Histoplasmosis
VIII Rinosporidiosis
IX Micetomas
X Rinoescleroma
XI Enfermedad de Chagas
XII Actinomicosis
XIII Mucomicosis
XIV Amebiasis
XV Prototecosis
XVI Lobomicosis
XVII Feohifomicosis
XVIII Prurigo actínico
XIX Mordedura de Culebra
XX Coccidioidomicosis

 Listado de Casos

 Bibliografía
 Contacto

VI. Esporotricosis

Caso 43. Esporotricosis / Basalioma

Ver Indice de Figuras

Fig. 43-A2

Anterior

Fig. 43-A2
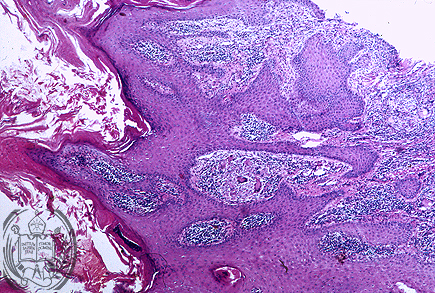
Fig. 43-A2: Esporotricosis

En la biopsia coloreada con HE se encontró una acantosis e hiperplasia seudoepiteliomatosa de la epidermis. En la dermis había una inflamación inespecífica con micro abscesos y células gigantes.

Siguiente


| español | english | deutsch |


Facultad de Medicina
Universidad de Los Andes
Merida - Venezuela