Inicio  Los Autores
 Introducción

Enfermedades Tropicales:

I Leishmaniasis
II Paracoccidioidomicosis
III Blastomicosis
IV Cromoblastomicosis
V Lepra
VI Esporotricosis
VII Histoplasmosis
VIII Rinosporidiosis
IX Micetomas
X Rinoescleroma
XI Enfermedad de Chagas
XII Actinomicosis
XIII Mucomicosis
XIV Amebiasis
XV Prototecosis
XVI Lobomicosis
XVII Feohifomicosis
XVIII Prurigo actínico
XIX Mordedura de Culebra
XX Coccidioidomicosis

 Listado de Casos

 Bibliografía
 Contacto

VI. Esporotricosis

Caso 43. Esporotricosis / Basalioma

Ver Indice de Figuras

Fig. 43-A3

Anterior

Fig. 43-A3
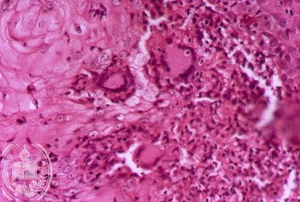
Fig. 43-A3: Esporotricosis

Se encuentran varias células gigantes pero no se detectan hongos. En nuestros casos de esta micosis en el hombre, no hemos visto jamás hongos en el tejido. Excepcionalmente, los hongos se encuentran y a menudo en gran número en casos con defectos inmunológicos locales, p. ejemplo en casos del tratamiento de estas lesiones con ungüentos que contienen cortisona.

Siguiente


| español | english | deutsch |


Facultad de Medicina
Universidad de Los Andes
Merida - Venezuela